Utilisation de l’échographie pour une capture efficace de saumons reproducteurs
Chaque année, dans l’intérieur de la Colombie-Britannique, près de Prince George, les stocks de la population de saumons chinooks du haut Fraser retournent frayer dans de plus petits cours d’eau. Cependant, ces stocks sont préoccupants sur le plan de la conservation en raison de leurs faibles effectifs; des efforts continus sont donc nécessaires pour soutenir leur rétablissement. Les écloseries gérées par des Premières Nations et des communautés dans la région du haut Fraser soutiennent ces stocks de saumons vulnérables grâce à la capture de saumons adultes, qui feront partie d’un stock de reproducteurs, et à l’élevage de leurs descendants, qui augmenteront les faibles effectifs de la population.
À l’été 2025, un défi s’est présenté dans une installation communautaire de mise en valeur des saumons située au nord de Williams Lake. L’équipe de l’écloserie du Quesnel River Research Centre (centre de recherche de la rivière Quesnel) a capturé des saumons chinooks du haut Fraser adultes, mais craignait que le stock de reproducteurs de l’écloserie n’ait pas la bonne proportion de mâles et de femelles pour la reproduction par couples. Dans le haut Fraser, des emplacements éloignés et des contraintes logistiques rendent nécessaire la capture de certains reproducteurs avant l’apparition de traits sexuels secondaires externes, comme la mâchoire, les dents et les changements de couleur. À ce stade précoce, l’apparence physique des mâles et des femelles est très semblable, ce qui les rend difficiles à distinguer.
Le maintien d’un rapport des sexes équilibré au sein d’un stock de reproducteurs d’écloserie reflète les tendances naturelles de reproduction par couples et aide à préserver la diversité génétique au sein d’une population de saumons. Les programmes d’écloserie qui conservent un meilleur degré de diversité génétique sont mieux placés pour soutenir les objectifs de rétablissement à long terme.
Innovation en action : appareil d’échographie portatif pour saumon
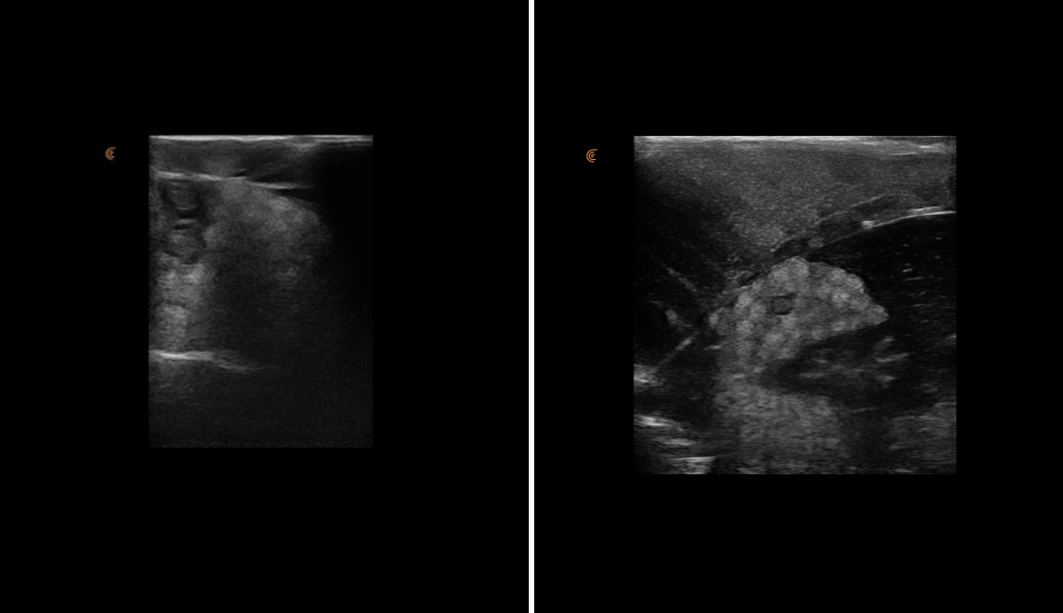
Pour différencier les mâles des femelles avant l’apparition de changements externes, le personnel du Programme de mise en valeur des salmonidés (PMVS) a proposé une solution novatrice. Lenora Turcotte et Qi Liu, biologistes régionaux responsables de la santé du poisson et du soutien aux écloseries, ont développé une méthode d’utilisation d’un appareil d’échographie portatif pour analyser les organes internes de reproducteurs afin de déterminer leur sexe et d’établir si les femelles sont prêtes à frayer. Il est important de noter que l’échographie ne nuit pas aux poissons; il s’agit d’une technologie non effractive qui réduit considérablement la durée des manipulations par rapport aux méthodes habituelles. De plus, les poissons n’ont pas besoin d’être conservés ni manipulés pendant de longues périodes, ce qui réduit leur stress et augmente leurs chances de survie s’ils sont relâchés.
Lors de la capture de reproducteurs à l’été 2025, le temps était limité puisque la migration des saumons chinooks du haut Fraser était presque terminée. Qi Liu a rapidement réagi, en apportant l’appareil d’échographie portatif depuis Vancouver jusqu’au Quesnel River Research Centre. Il a analysé les saumons capturés pour faire partie du stock de reproducteurs à l’aide de l’appareil d’échographie et a rapidement confirmé les préoccupations du personnel : le rapport des sexes était déséquilibré.
En raison de ce constat, l’équipe de l’écloserie du Quesnel River Research Centre est retournée dans diverses rivières de fraie et a capturé d’autres mâles ou femelles de plusieurs stocks appartenant à la population de saumons chinooks du haut Fraser. En raison de l’efficacité de l’échographie pour déterminer avec précision le sexe des saumons lors de la capture de reproducteurs, d’autres écloseries communautaires de la région du haut Fraser ont adopté cette technologie. Ainsi, les futurs stocks de reproducteurs d’écloserie seront équilibrés, ce qui appuiera une production d’écloserie rentable et durable.
L’échographie est entièrement non effractive, ce qui nous permet d’obtenir l’information dont nous avons besoin sans nuire aux poissons. Nous pouvons donc prendre de meilleures décisions, tout en respectant les poissons que nous tentons de protéger.
Mise à profit de la technologie pour soutenir les populations de saumons vulnérables
Le PMVS élargit la façon d’utiliser l’échographie pour favoriser la protection et le rétablissement des populations de saumons. Grâce à l’échographie, le personnel d’écloserie peut observer l’intérieur d’un poisson sans lui nuire, ce qui permet de confirmer si un saumon possède des organes reproducteurs mâles ou femelles, de vérifier son stade de maturité et de prendre de meilleures décisions pendant la capture de reproducteurs et la fraie. L’échographie est également devenue un outil de recherche précieux. Dans nos laboratoires, elle aide les scientifiques à surveiller si les saumons sont prêts à frayer et à orienter l’utilisation de traitements lors des expériences réalisées.
Le PMVS dispose de deux appareils d’échographie portatifs qui sont fréquemment transportés par du personnel formé vers diverses écloseries à l’échelle de la province, et qui font déjà une différence notable. Par exemple, nous avons utilisé cette technologie à l’écloserie Capilano de North Vancouver pour vérifier le sexe de saumons cohos lors de la sélection de reproducteurs et pour appuyer l’administration d’antibiotiques. Les écloseries communautaires du nord de la Colombie-Britannique et de l’île de Vancouver utilisent maintenant l’échographie pour soutenir une capture de reproducteurs plus efficace, surtout lorsque les saumons arrivent en nombre imprévisible ou à différents stades de maturité. Pour élargir davantage l’accessibilité de l’échographie, le personnel du Programme de participation communautaire a récemment acheté trois appareils supplémentaires à faible coût, et nous travaillons avec eux pour ajuster ces appareils afin que davantage de partenaires puissent tirer parti de cette technologie.
Le travail réalisé a été rendu possible grâce au financement de l’Initiative de la Stratégie relative au saumon du Pacifique, que nous avons investi dans notre PMVS pour soutenir le rétablissement et la conservation des populations de saumons du Pacifique vulnérables au moyen de l’amélioration d’écloseries, de la remise en état d’habitats, de la recherche et de la collaboration avec des groupes autochtones et des communautés locales. D’autres investissements de l’Initiative de la Stratégie relative au saumon du Pacifique visant à soutenir les saumons du Pacifique à long terme sont présentés sur le site Web des articles en vedette concernant l'Initiative de la Stratégie relative au saumon du Pacifique.
Appareil d’échographie portatif utilisé pour examiner les saumons sans les blesser afin d’établir de façon sécuritaire leur sexe et de déterminer s’ils sont prêts à frayer. Si un poisson a été mal identifié, il sera relâché dans sa rivière natale pour y frayer naturellement. Il est essentiel de capturer la bonne proportion de reproducteurs mâles et femelles pour maintenir la diversité génétique des populations de saumons vulnérables.
Liens connexes
- Quesnel River Research Centre (en anglais seulement)
- Écloseries et chenaux de ponte du Programme de mise en valeur des salmonidés de Pêches et Océans Canada
- Le rôle crucial que les écloseries jouent dans la conservation des populations de saumons du Pacifique : l’exemple du saumon chinook du ruisseau Portage
- Date de modification :
